Работаем Пн-Вс с 9:00 до 21:00
Всегда на связи в рабочие часы
Москва, проспект Андропова, 8
Технопарк
Автозаводская

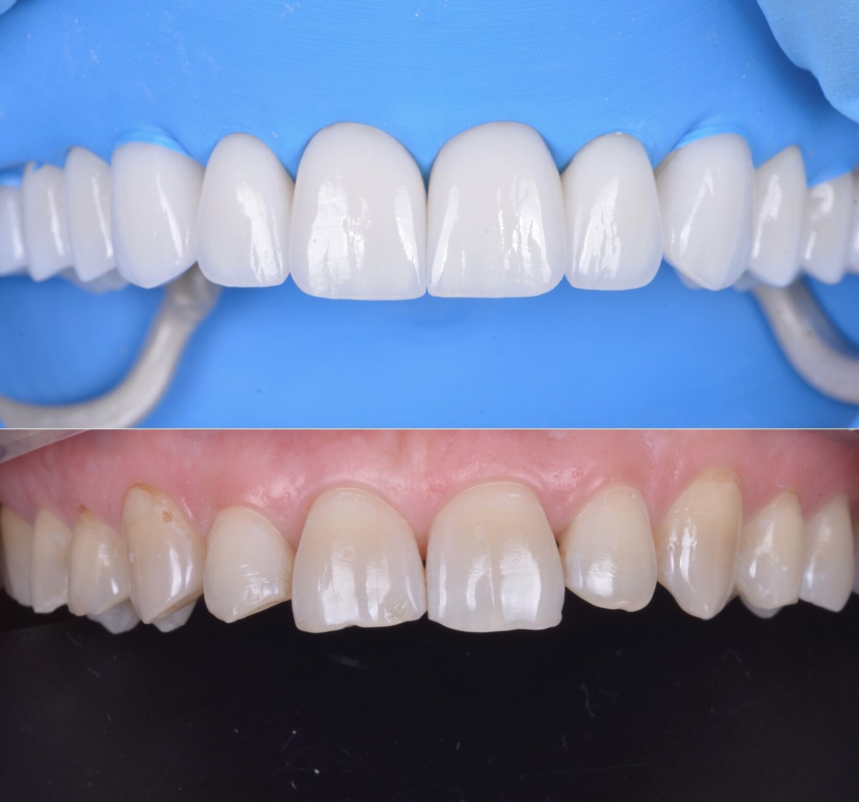
Установка виниров

Можем создать натуральную улыбку и никто не узнает, что у вас виниры или сделать настоящую «Голливудскую улыбку» — яркую и притягивающую внимание.
/
Задать вопрос или записаться на приём вы можете, позвонив по телефону или оставив сообщение в Telegram.
КЕРАМИЧЕСКИЕ ВИНИРЫ EMAX
от 50 000 РУБЛЕЙ
Цена за 1 зуб
КЕРАМИЧЕСКИЕ УЛЬТРАНИРЫ/ЛЮМИНИРЫ
от 65 000 РУБЛЕЙ
Цена за 1 зуб

мы создаём самые эстетичные виниры в Москве из ультратонкой керамики

Полностью ручная работа

Рельеф и оптика как у натурального зуба

Прозрачный режущий край

Тончайшие слои керамики позволяют делать виниры толщиной натурального зуба.

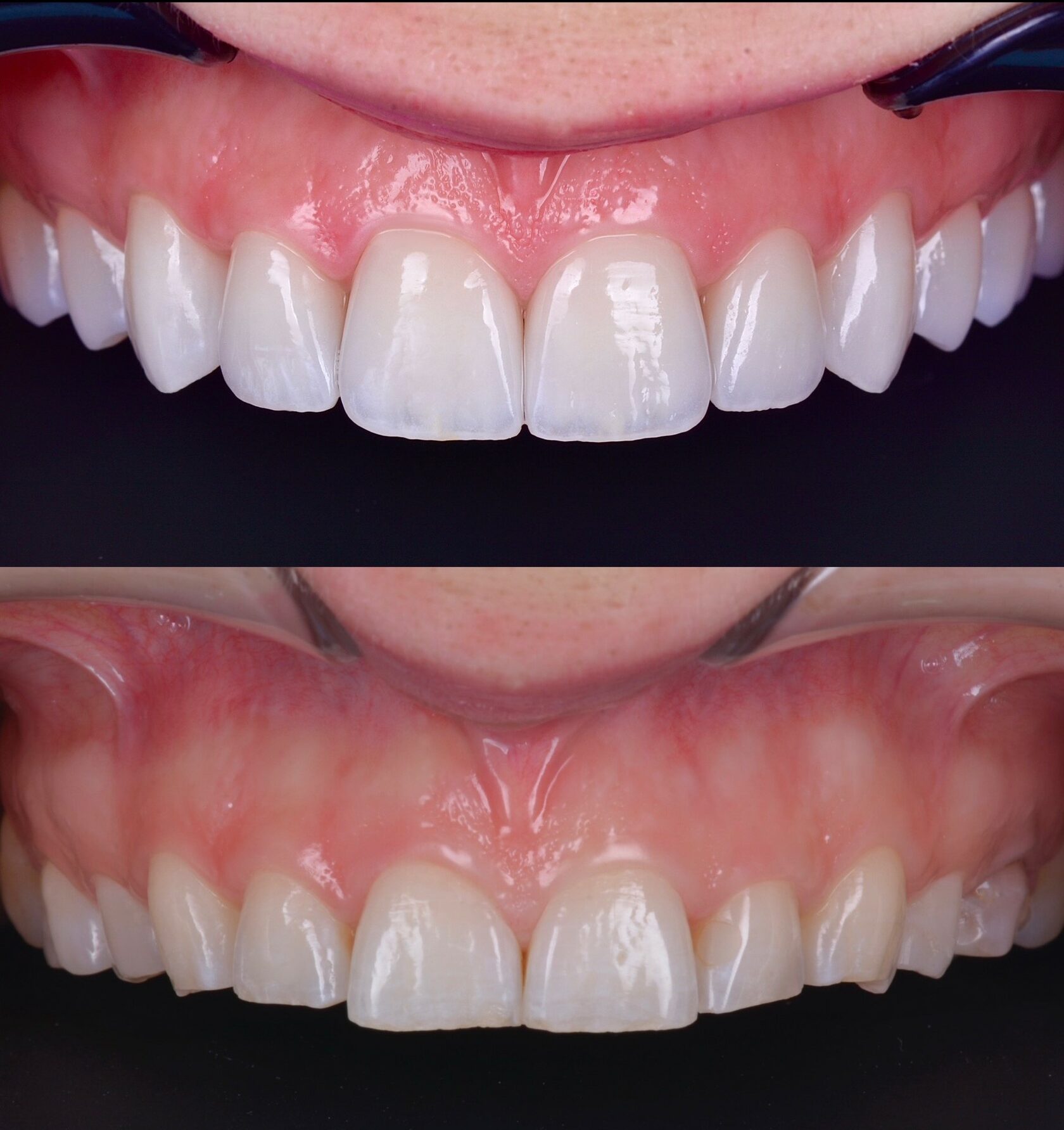
Истории пациентов и наши работы

Проблема: Неудовлетворительный внешний вид улыбки.
Выполнено: Установка 20 керамических ультраниров
Цвет: Bleach 2
Москва
Евгений
Москва
Проблема: Частичное отсутствие зубов, стираемость, поврежденная эмаль у зубов
Выполнено: Установка 5 имплантов, 28 виниров/коронок с поднятием высоты прикуса.
Цвет: B1
Юрий
Мюнхен
Проблема: Щели между зубами
Выполненно: Установка 10 керамических ультраниров
Цвет: Bleach 4
Лика
Москва
Проблема: Стираемость зубов
Выполнено: Установка 28 керамических виниров с поднятием высоты прикуса
Цвет: Bleach 3
Виктория
Москва
Проблема: Частичное отсутствие зубов, стираемость.
Выполнено: Имплантация 4 зубов, установка 28 виниров/коронок
Цвет: Bleach 3
Татьяна
Москва
Проблема: стираемость зубов, неудовлетворительная эстетика улыбки
Выполнено: Керамические ультраниры 28 зубов
Цвет: Bleach 2
Анна
Проблема: Стираемость и неудовлетворительный внешний вид зубов
Выполнено: Установка 20 керамических ультраниров
Цвет: Bleach 3
Москва
Феликс
Москва
Проблема: Стираемость и частичное отсутствие зубов
Лечение: Установка 28 виниров/коронок, имплантация 4 зубов
Цвет: Bleach 3
Марина
Москва
Проблема: Неправильный прикус и стираемость зубов
Выполнено: Брекеты + установка 28 керамических виниров
Цвет: Bleach 4
Максим
Москва
Проблема: Несостоятельные композитные виниры
Выполнено: Установка 20 керамических ультраниров
Цвет: Bleach 2
Стефан
Москва
Проблема: Стираемость зубов
Выполнено: Установка 28 керамических виниров/коронок
Цвет: Bleach 4
Андрей
Москва
Проблема: Несостоятельные композитные виниры
Лечение: Установка 10 керамических виниров.
Цвет: A1
Мария
Москва
Проблема: Стираемость зубов в следствии бруксизма
Выполнено: Восстановление зубов с помощью 28 керамических ультраниров
Цвет: Bleach 4
Юлия
Москва
Проблема: Не устраивал макет улыбки сделанный в другой клинике
Выполнено: Восстановление зубов с помощью 28 керамических ультраниров
Цвет: Bleach 3
Мария
Проблема: Стираемость зубов
Лечение: Восстановление стираемости с помощью 28 керамических виниров
Цвет: Bleach 3
Москва
Александр
Москва
Проблема: Не удовлетворительный внешний вид зубов
Выполнено: Керамические виниры 10 единиц
Цвет: Bleach 3
Ксения
Москва
Проблема: Не удовлетворительная эстетика улыбки
Выполнено: Установка 20 керамических ультраниров
Цвет: Bleach 3
Елизавета
Москва
Проблема: Стираемость и неудовлетворительный цвет зубов.
Выполнено: Установка 28 керамических ультраниров с поднятием высоты прикуса
Цвет: Bleach 4
Виктория

В каких случая помогут виниры?

В жизни мы часто сталкиваемся с подобными проблемами. Виниры позволяют решить все из них с максимальной эстетикой и деликатностью к зубам.
Изменение цвета зубов
Кариес, эрозии эмали, стираемость
Со временем, зубы теряют свой естественный цвет в сторону желтого.
После лечения кариеса или при флюорозе на зубах могут образовываться пятна.
Трещины и сколы
Большие промежутки между зубами
Вследствие неосторожности, могут возникать трещины и сколы, а также чувствительность зубов.
Такой дефект можно устранить не только с помощью брекетов и элайнеров.

Этапы установки виниров

На диагностики стоматолог проверит состояние зубов, прикуса и жевательных мышц. После оценки состояния всей зубочелюстной системы можно приступить к первому этапу, а именно: снятия слепков, после которых для вас закажут цифровой макет будущей улыбки, который можно будет примерить и оценить форму новой улыбки уже на следующий визит. На этом этапе можно внести коррекцию длины и формы зубов еще до начала основной работы.

Виниры — это не роскошь, а необходимость.

Виниры — это возможность выглядеть и чувствовать себя лучше. Способ не просто скрыть проблему, а грамотно вылечить её с помощью микропротезирования. Получить безупречную эстетику, не нарушая анатомию и физиологию зубо-челюстного аппарата, возможно в нашей клинике.
— Азов Давид Одиссеевич,
врач-стоматолог, ортопед

Все этапы работы в видеоролике

Все этапы по установке виниров в одноминутном ролике. (не забудь выбрать лучшее качество видео перед просмотром)

Почему Виниры лучше устанавливать у нас ?

Портфолио наших работ
Мы гордимся нашими кейсами, все улыбки созданные нашей командой индивидуальны, но в каждой вы можете увидеть наш неповторимый "подчерк". Мы просто помешаны на эстетике и не удивляйтесь, что во время работы будет большое количество фотографий =)
Работа с дентальным микроскопом
Мы работаем на качество и совесть, поэтому считаем наличие микроскопа в работе с винирами необходимостью. Увеличиние х20 позволяет минимально обработать зубы и сделать виниры из ультратонкой керамики. На этапе фиксации добиться идельного прилегания и убрать даже мельчайшие частицы цемента. Вы не увидите этих нюансов, но поверьте такой подход кратно увеличит срок службы виниров.
Функциональная диагностика
Первым и очень важным этапом работы с винирами - это функциональная диагностика. Даже установка 2 виниров затрагивают функциональный аспект всей зубочелюстной системы. Поэтому, чтобы все работало правильно, в будущем не было сколов керамики и самое главное вся работа была удобна для ваших жевательных мышц и сустава, мы проводим диагностику.
Специалисты высочайшего уровня
В нашей команде работают врачи с международной квалификацией, мы буквально облетали пол мира, чтобы собрать методики лучших стоматологов планеты и применить их в своей практике.
Обточка зубов перед установкой керамических виниров обязательное условие. Не каждая клиника готова показать свой этап обточки из-за сильной обработки зубов, но в нашем случае с учетом высоких мануальных навыков специалистов, а также работы с увеличением и наличие лаборатории, которая умеет изготавливать тонкие виниры, обработка минимальна.
Миниинвазивная обработка зубов
Цифровая лаборатория
Собственная цифровая лаборатория позволяет выполнять работы любой сложности в минимальные сроки. 3D моделировка дает пациентам возможность увидеть и даже примерить в полости рта новые зубы еще до начала работы.

вот так должны выглядеть безупречные улыбки

Стоимость виниров зависит от выбора лаборатории и материала, различия в эстетических параметрах и толщины керамического винира.

Цены на установку виниров

Керамические ультраниры/люминиры
Керамические виниры
Первичная консультация и составление плана лечения
2 000 рублей
от 44 000 рублей
от 59 000 рублей
Гурбанов
Наид Мукафатович
Стаж работы 15 лет
Главный врач, стоматолог хирург-имплантолог, ортопед
Азов Давид Одиссеевич
Стоматолог реставратор-ортопед, основатель AGILE DENT
Стаж работы 11 лет

Врачи стоматологии

Специалисты нашей клиники помогут составить план диагностики и лечения в каждом конкретном случае.

пациенты говорят о нас

Многие пациенты ещё не раз обращаются за лечением зубов в нашу клинику.
  • Делаю имплантацию в этой клинике. Первый этап по вырыванию зуба и сразу ввода импланта прошел на ура. У хирурга Наида очень легкая рука. Всё профессионально, без лишних движений, даже анастезию колоть было НЕ больно (а мне есть с чем сравнивать). В моем случае не хватало десны и пришлось пересаживать свою (отрезали, где можно, и пришили куда надо))) ). Ни отёков, ни синяков, узелки от швов не мешают. Жду второй этап, когда будет постоянная коронка. Еще плюс - план лечения на консультации, согласно которому сразу известна полная стоимость. Очень довольна!! Рекомендую однозначно.
    Екатерина М.
    Источник: Яндекс.Отзывы
  • Только вышла, с этой замечательной клиники, и сразу захотелось оставить отзыв. Выражаю большую благодарность после реставрации, передних зубов доктору Давиду, Вы доктор с большой буквы, мои зубки не узнать, я очень долго выбирала врача, и не ошиблась. Смело могу рекомендовать доверять свою улыбку именно вам, вы профессионал в своей работе. Спасибо вам и вашей команде, за индивидуальный подход к каждому клиенту, благодаря таким врачам, улыбки становятся прекрасными и привлекательными. Спасибо, теперь только к вам🤗
    Альмира А.
    Источник: Яндекс.Отзывы
  • Осмотр на консультации проводился под микроскопом Давидом, после которого был составлен подробный план лечения, с уже известным прайсом. Выражаю благодарность за работу и развернутые ответы на мои вопросы Елене Викторовне и асистентке Анастасие, а также всей команде клиники. Лечение проходило абсолютно безболезненно, поэтапно с лечением делали фотопротокол, уколы с анастезией не ощущались вообще. Были выполнены потрясающие по качеству и эстетике реставрации, даже если всматриваться в зуб, не скажешь, что он запломбирван, и что самое главное - все зубы сохранили живыми. Клиника оборудована современными инструметами для работы. Кабинеты чистые, с красивым видом на город. Если хотите здоровые и красивые зубки, то вам сюда🙂
    Сергей С.
    Источник: Яндекс.Отзывы
  • Наид, Марина и Давид - это просто пушка 💥 настоящие мастера своего дела👍 Ставила пломбу у Давида и больше всего боялась укола, но эти волшебные руки сделали укол похожим на массаж дёсен, было даже приятненько😂 Удалила 4 зуба мудрости у Наида, довольная как слон))) он просто Бог!!Установила элайнеры у ортодонта Марины, всегда на связи, отвечает на самые тупые вопросы пациентов😂🤗очень жду результат, чтобы потом установить виниры в этой клинике и получить фантастическую улыбку😁 Качество, профессионализм и ценообразование топ👍👍👍Если решили заняться зубами, то вам сюда 100 проц.! Очень отзывчивые люди❤️
    Елена К.
    Источник: Яндекс.Отзывы
  • Почти ровно год назад я случайно увидел пост в Инстаграмм от доктора Давида. Подписался. Пришёл на бесплатную консультацию. Понял, что дальше буду заниматься зубами у этих ребят. Начал с имплантов. Устанавливал их доктор Наид. Ни одного лишнего движения, спокойствие профессионала, которое передаётся пациенту. Абсолютно положительная энергетика и золотые руки. Приходите и убедитесь сами! А моя мама пациентка доктора Давида. У неё сломался передний зуб от множества пломб и надо было что то делать. Предложили восстановить и закрыть циркониевой коронкой. Два визита и мама с зубом. Очень довольна результатом. Благодарю этих молодых талантливых врачей за их труд, знания и опыт! Рекомендую!
    Мнение
    Источник: Яндекс.Отзывы
  • Хороший доктор. Все сложные процедуры доверяю только ему, изначально пришла с зубом, который предлагали удалять в других клиниках. Давид Одисcеевич восстановил и полностью вылечил мой зуб, это была очень ювелирная работа🙏🏾 Все зубы мудрости удаляла так же у этого доктора, и на удивление совсем не больно, после удаления, выходила в прекрасном настроении.
    lera.kot.42
    Источник: Яндекс.Отзывы
  • Кто боится удалять зубы мудрости, тот просто не знаком лично с Давидом Одиссеевичем :) Пять минут и я забыла про ноющую и беспокоящую боль! Такого безболезненно укола анестезии мне делал ещё никто, профи есть профи :) Успехов Вам и красивых улыбок вокруг!
    Мария В.
    Источник: Яндекс.Отзывы
  • Наткнулась на страничку Давида и наблюдала в социальной сети больше года за деятельностью клиники, а теперь жалею, что сразу не пришла на прием, хотя чувствовала, что эта клиника именно то, что нужно) Перелечила все зубы у Елены Викторовны, наконец я в надёжных профессиональных руках и с полностью здоровыми зубами! Благодарю!
    Ксения Дорофеева
    Источник: Яндекс.Отзывы
  • Одним словом КОМАНДА Все специалисты супер. Хочу выразить благодарность Елене Викторовне за ее отличную работу, нежные ручки и самые красивые пломбы А так же хирургу Наиду за то что безболезненно и быстро удалили сразу 2 зуба (один из них мудрости) как он и обещал всё прошло совсем не больно
    Светлана
    Источник: Отзывы Zoon
  • Нахожусь на лечении в этой клинике. Хочу поблагодарить за подделанную работу Екатерину Юрьевну и Давида Одиссеевича. Я очень боялась лечить зубы, но с ним мне настолько комфортно, что ходить к стоматологу мне доставляет удовольствие. Лечить зубы надо вовремя и не запускать! Рекомендую эту клинику!!!!
    Ольга
    Источник: Отзывы Zoon
  • Решил заняться зубами и долго искал подходящую клинику. Однажды наткнулся на инстаграм Давида и стал наблюдать за различными ситуациями у пациентов и их решениями. Спустя время понял, что вот оно и я пойду именно сюда.
    Первым делом провели установку двух имплантатов руками доктора Наида, за что ему спасибо. Работа еще не завершена, впереди меня ждет установка коронок, но я уже уверен в будущем результате.
    Пока проходила остеоинтеграция, занялись лечением некоторых каналов, переделкой старых после не очень внимательных стоматологов, также лечением кариеса, куда без него. Эти процедуры очень скурпулезно выполняет Елена и по некоторым моментам в нужное русло направляет Давид.
    Еще один плюс - КТ. Можно диагностировать и пресекать проблемы в самом зачатке.
    На данный момент доволен результатом.
    Если будет возможность дополнить отзыв — дополню более обширно, т.к. процесс лечения еще не завершен.
    Александр
    Источник: Отзывы Zoon
  • Долго искала место, где будут все специалисты, так как работа требовалась комплексная. К моему счастью я попала в нужное время в нужное место)))
    Это потрясающий сплоченный коллектив, настоящие профессионалы своего дела, знающие что делать, зачем и как.
    Мой страх перед имплантацией был велик, но все мифы рассеялись благодаря доктору Наиду))) имплантаты стоят как «родные», прижились и радуют меня.
    Теперь вся моя семья и знакомые ходят только к ним:))) спасибо огромное за ваш труд
    Виктория
    Источник: Отзывы Zoon
  • Хочу выразить огромную благодарность доктору Давиду и всей команде! Очень боялся начать лечение из-за прошлых воспоминаний об этом процессе. Уже на первом сеансе я не почувствовал не укол, не дальнейшие действия. Пару раз даже чуть не уснул Благодаря Давиду все мои страхи с лечением зубов растворились) Спасибо!!!
    Сергей Веселов
    Источник: Отзывы Zoon
  • Хочу порекомендовать Екатерину Юрьевну как супер грамотного специалиста!!! Сначала пришла на консультацию мне составили план лечения, мне очень все понравилось, мы пролечили весь мой кариес и теперь буду приходить на гигиену регулярно! Много где консультировалась, но осталась у Екатерины! Понравилась и сама клиника и все сотрудники! Спасибо большое помощнице Виктории, и всему коллективу!
    Ольга
    Источник: Отзывы Zoon
  • Уже несколько месяцев перелечиваю каналы в этой клинике и как же жаль, что я не нашла их раньше! Елена Викторовна гениальный стоматолог, ни боли, ни страха, всегда очень комфортные посещения, я даже стала засыпать на приемах, да! это возможно! А уколов я боялась обсобенно, но у Елены Викторовны просто волшебный руки! Клиника отлично оборудована, все сделано для человека, врачи всегда идут на встречу, всегда составляют план лечения и цены понятны до начала лечения. Теперь только здесь буду лечить зубы.
    Екатерина Шукенова
    Источник: Яндекс.Отзывы
  • Прекрасные специалисты и профессионалы своего дела , пролечил зубы , и на каждом сеансе умудрялся уснуть ) да может и смешно ) но такой безболезненной работы я ещё пока нигде не встречал , плюс качественный подход к каждому вашему зубу , посоветуют , подскажут , прижмите сами решение , все честно и открыто ! Больших вам успехов ! Вернусь 100 % на чистку зубов.
    FelizDionis
    Источник: Яндекс.Отзывы
В ближайшее 10 минут с Вами свяжется менеджер нашей клиники, чтобы подобрать удобное для вас время для записи на приём.
Хотите Получить консультацию врача?